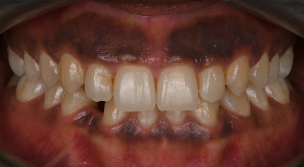
The most common cause of darker pigmentation in the gums is genetics.
Excess melanin can build up in the gums, making them look brown or black instead of pink. This is more common in certain ethnic groups like people with African or Middle Eastern ancestry. The extra pigment does not indicate any disease or dysfunction. Patients seek treatment due to an aesthetic preference for pink gums that enhance the visibility of their teeth.
Other causes for dark gums include smoking, side effects from certain medications and the possible impact of amalgam fillings on the gum.
Dream Smile Dental Clinic is one of the only clinics to offer Laser Gum Bleaching (Depigmentation).
The Treatment Process
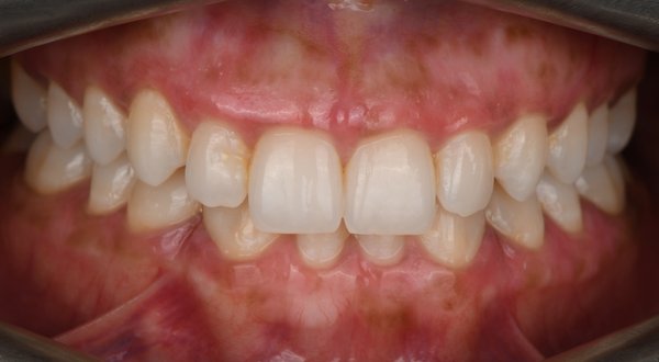
Laser Gum Depigmentation vaporises and removes a thin top layer of the gum tissue, destroying the cells that produce melanin. As new tissue is created during healing, it tends to be pink rather than brown. The treatment may require a local anaesthetic injection and has a short recovery time with manageable discomfort. Sometimes, depending on the colour and depth of the dark patch, it could take several sessions to achieve the desired degree of lightening. Dream Smile Dental Clinic is one of the handful of clinics in London that offer this treatment, equipped with the latest laser equipment. Dr Tehranian has been doing this procedure for the last 15 years and has completed over 1500 procedures.